До и После
До и После
На фото работа ДО и После выполненная стоматологом — ортопедом Таланцевым Романом Владимировичем. В данном случае была проведена санация полости рта, имплантация и тотальное протезирование в комбинации безметалловой керамики и металлокерамики.
⠀
Терапевт Юрченко М.А.
Зубной техник Павловский О.В.
Хирург Киселев А.А.
⠀
Ждем Вас на прием и консультацию в Зубной кабинет на Ленинском, 71. Телефон для записи


Комментарии врача:
«Мужчина, родом из Франции. Очень позитивный человек. Говорит: Во Франции, у нас обязательный фотопротокол в стоматологии, как было, в процессе и как стало. Что это не только для мотивации пациентов, но и для решения юридических вопросов. В России он уже живет много лет и первого кого встретил с фотоаппаратом в стоматологии это меня, звучит гордо и грустно одновременно!»
Заметьте как он стеснительно улыбается на фото ДО и как искренне на фото ПОСЛЕ.⠀
Работу выполнили:
Ортопед Таланцев Р.В.
Зубной техник Зверев Е.А.
Терапевт Царегородцева В.В.

Комментарии стоматолога — ортопеда.
«Тотальная реабилитация имплантами! Вот это я понимаю работы, если совсем с зубами все плохо и планируется удаление остатков зубов. У всех, наверно, есть какие-то воспоминания от бабушек и дедушек, которые кладут съемные протезы в стаканчик на ночь. А теперь представьте что зубы удалены в 40 лет или ещё раньше и вы приговорены к съёмным протезам, мне даже представить это страшно, о шашлыках точно можно забыть. Слава богу дошли до нас методики тотальной имплантации и теперь можно восстановить зубы без съемного протезирования. Такое лечение однозначно вернёт человека к комфортной жизни. Приятно смотреть как люди заново учатся улыбаться.»
⠀
Работу выполняли:
Ортопед: Таланцев Роман Владимирович.
Зубной техник: Павловский Олег Вячеславович.
Хирург: Черняев Роман Мхайлович.
⠀
Ждем Вас на прием и консультацию
Зубной кабинет на Ленинском ,71
МедЦентр на Советской , 173

Комментарии врача:
⠀
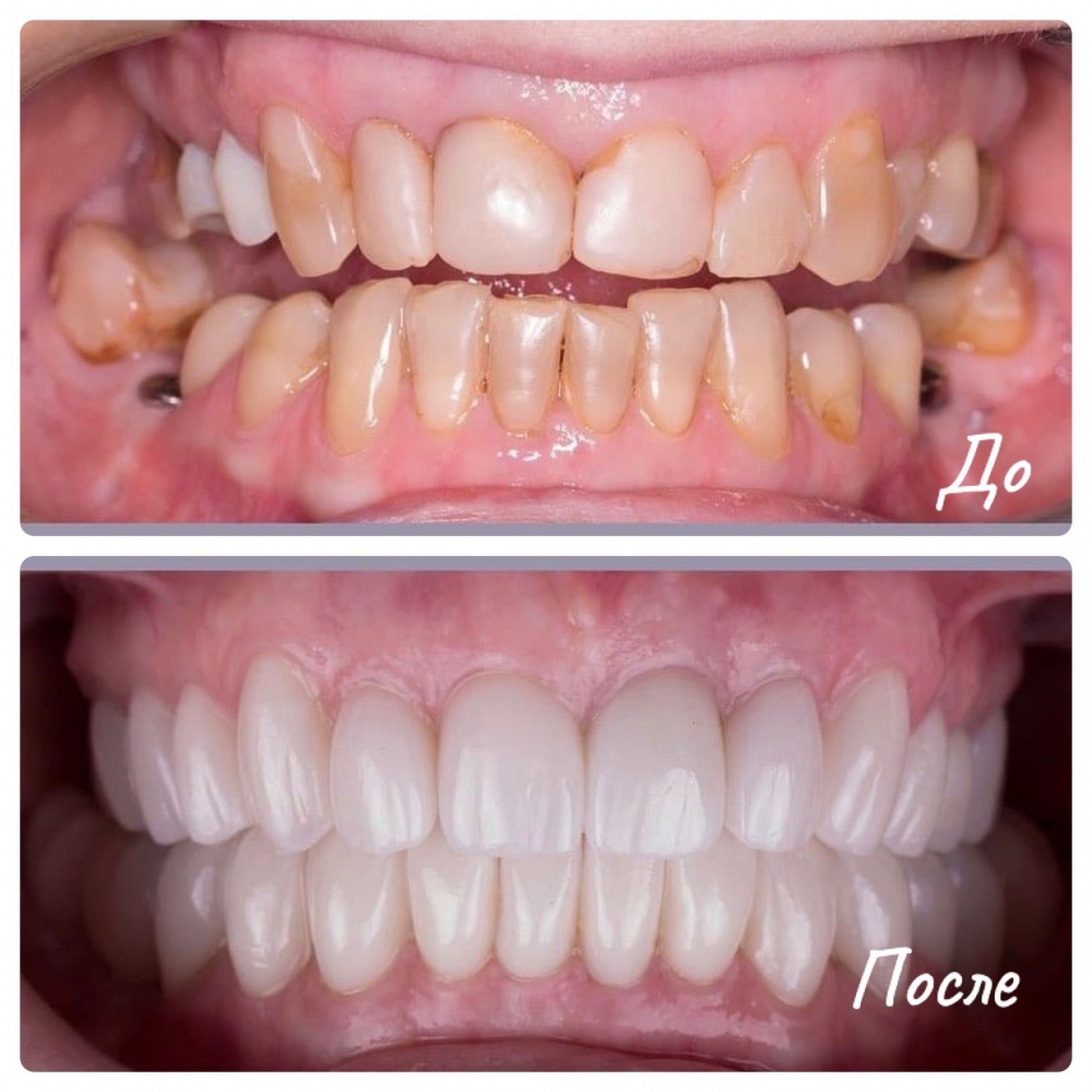
«Вот это я понимаю тотальная реабилитация! К сожалению пациентка не захотела публиковать портретные фото, сразу стало бы понятно как меняется человек, но надеюсь и на этих фото будет понятно.»
⠀
Ортопед Таланцев Роман Владимирович.
Зубной техник Павловский Олег Вячеславович.
Хирург Черняев Роман Мизхайлович.
Терапевт Галкина Полина Викторовна и Ячменева Дина Александровна.
Ждем Вас вас на приём и консультацию в Зубном кабинете на Ленинском, 71. Запись по телефону:

Комментарии врача:
«Мальчик 11,5 лет. Случай без удаления, без винтов, просто работа в пик роста, кооперация плохая с подростком была, плоховато он носил в плане отклеек постоянных по несколько штук, сняли до окончания пика роста.»
Работа выполненная нашим врачом-ортодонтом Фроловой Асии Руслановны.
Записаться к нам можно по телефону:

Комментарии врача:
«Девочке 13,5 лет, третья стадия созревания шейных позвонков -пик роста в течение ближайшего года, принято решение о расширении верхней челюсти с помощью аппарата RPE в модификации Дерихсвайлера, то есть аппарат на четырех кольцах на шестых и премолярах первых, после ношения в течение 1 месяца появились тремы на верхней челюсти , зафиксирована брекет система на верхней челюсти , в течение последующих 3 месяцев будет фиксация на нижней челюсти.»
Работа выполненная нашим врачом-ортодонтом Фроловой Асии Руслановны.
Записаться к нам можно по телефону:

